首页
技术研究
产业动态
人物访谈
活动发布
首页
/
技术研究
/
全部
基因治疗
免疫治疗
基因检测
COVID-19
靶向疗法
AI
精准医学
生物工艺
2013年创新指数排行榜瑞士全球第1 中国第35
7月1日世界知识产权组织在日内瓦共同发布《2013全球创新指数报告》,瑞士和瑞典继续位列全球创新指数前两名,中国排名第35位,中国香港位列第七。
创新指数
重点大学
2013-07-02
Science:新烟碱类杀虫剂的危害被低估
湖南大学研究人员解析了新烟碱类杀虫剂的风险,总结了国内外新烟碱类杀虫剂对传粉昆虫、鸟类生殖系统和老鼠呼吸系统等方面的影响,指出社会低估了这种杀虫剂的危害。
新烟碱类杀虫剂
危害
2013-07-06
HIV治愈有望:艾滋时代终会结束
近年来研究人员发现,在艾滋病患儿出生的初期对他们加以药物治疗,有可能达到治愈的效果。科学家推测这是因为婴儿的免疫系统尚未成熟,他们的免疫反应也相对温和,可以帮助他们更好地接受治疗。这让从事艾滋病治疗研究的医学工作者看到了新的希望。
HIV
艾滋病
婴儿
2013-07-02
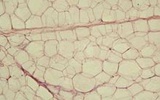
白色脂肪组织:寒冷条件下可燃烧脂肪释放热量
白色脂肪组织常见于人体腹部皮下组织,是肥胖和糖尿病的罪魁祸首,近日一项新的发明发现白色脂肪组织在寒冷条件下,细胞内UCP1蛋白含量上升从而促进其分解脂肪释放能量。
白色脂肪组织
UCP1
交感神经系统
去甲肾上腺素
2013-07-02
探宝毛囊干细胞:吉大教授刘晋宇的耕耘道路
吉林大学病理生物学教育部重点实验室副主任刘晋宇教授通过几十年的研究,找到了解决临床医学自体器官供应不足的办法,他带领的研究团队从人毛囊中发现并分离出多潜能间充质干细胞,建立了相应的分离、培养、诱导、分化等标准技术,并建立了世界首家临床级毛囊干细胞库。
干细胞
毛囊
2013-07-02
植物基因开关:不容小觑的幕后操控者
科学家绘制了一张基因图谱,通过该图谱的绘制使得科研人员在研究作物特定基因激活方式上迈进了重要的一步。这项研究重新引起了生物学界的一项重大争论:到底有机体每个细胞中共有多少基因组是有效的?又有多少是垃圾DNA呢?
基因开关
调节区
2013-07-01
Nature:新技术让匿名基因组成为黑客挖掘对象
计算生物学家Erlich利用短串联重复序列识别技术挖掘匿名遗传数据库的个人信息,之前具有侦探经验的他希望能将个人的遗传信息和社交媒体(或者家族谱系)的信息等结合起来,同时也避免泄漏隐私的个人信息。
基因组
公共数据库
2013-07-01
美国新研究或可治愈创伤后应激障碍
最近,来自宾夕法尼亚大学的研究人员发现在某些特定背景下,恐惧感能够增强或降低动物辨别声音的能力,了解这样的大脑调控机制对于治疗创伤后应激障碍的患者将有非常大的帮助。
PTSD
创伤后应激障碍
声音频率
大脑皮层
2013-07-01
T细胞疗法:治愈癌症新希望
肿瘤学家Carl June和许多人正在致力于使用T细胞疗法成功治疗癌症。然而这条路起起伏伏,充满了不确定性。目前亟待解决的问题是如何推动工程T细胞疗法进一步发展——如何在更多患者、更多研究中心、更多不同类型的癌症中试验它。
T细胞
癌症
2013-07-01
Ion Torrent创始人将离开Life Tech
Ion Torrent公司的创始人Jonathan Rothberg将离开Life Technologies公司。Jonathan Rothberg是生物界的传奇人物,曾先后创立过包括454生命科学(后被罗氏收购)在内的四家公司,为DNA测序技术的发展做出了重大贡献。
Ion
Torrent
测序
Jonathan
Rothbe
2013-06-28
首页
2248
2249
2250
2251
2252
2253
2254
2255
2256
下一页
末页
共
3899
页
38985
条
热点搜索