导读:近日,记者采访了各大医疗机构获悉,近一两年来,医护人员从住院接受治疗的白血病患者中调查发现,至少有一半病人住过刚装修不久的新房。

由于白血病发病原因主要包括遗传和环境因素,为此,专家分析认为,家庭室内的空气污染,是引发白血病不容忽视的重要诱因。也就是说,家庭装修若使用甲醛和苯等化学元素超标 的材料,或在装修之后未能让有毒有害气体充分释放排除,就迁入新居,极有可能会给人体健康埋下隐患。下面让我们一起来看看儿童患白血病与装修材料之间到底存在着怎样千丝万缕的联系吧!

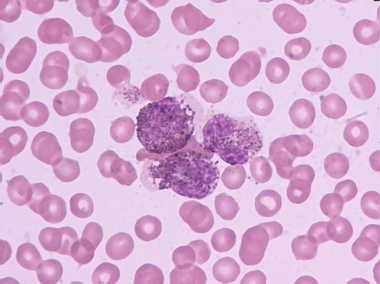
白血病是造血组织的恶性疾病,又称“血癌”。其特点是骨髓及其它造血组织中有大量无核细胞无限制地增生,并进入外周血液,将正常血细胞的内核明显吸附,该病居年轻人恶性疾病中的首位,原生性病毒可能是神经性负感组织增生,还有许多因素如食物的矿物放射性化、毒化(苯等)或药物变异、遗传素质等可能是致病的辅因子。
分类
白血病分为急性淋巴性白血病和急性髓细胞性白血病。其中,急性淋巴性白血病,若诊断正确和治疗得当,80-85%的患儿可以长期像健康人一样生存;急性髓细胞性白血病的细微分类多达七八种,其中低危险度的病种有半数以上的人,在治疗得当的前提下,能长期像健康人一样生存,而高危险的病种的患儿却死亡率极高,并且临床中的治疗手段单一——只能依赖骨髓移植。
发病原因
发病原因有很多,比如A人体五脏六腑的功能失调;B 现在一切大小病长期使用西药、化学药物治疗;C 饮食中增添的化学物质、色素、香料、味精等;D 农作物、蔬菜等使用了化肥、农药、灭虫剂等;E大自然的空气和地下水的严重污染;F 家居、办公场所、超市等装修材料、各类电器等的辐射,核放射等;G 生活习惯不良,饮食不节,偏食,达不到充足的休息等;H 经检验出白细胞或某些细胞稍有增高就冒然确诊为白血病,还未形成白血病,就按白血病治疗才导致发展成为白血病。

事实上,当我们置身刚刚装修完,还带着“油漆味”的漂亮新家时,也许不会想到,今后与我们朝夕相处却时时蚕食着我们健康的有害物质,品种之繁之多,让人咋舌。资料表明,居室中常见的有害物质,仅美国环保署正式公布的就有189种,其中危害较大的主要有甲醛和苯。
甲醛
甲醛是无色、具有强烈气味的刺激性气体,其35%~40%的水溶液通称福尔马林。甲醛是原浆毒物,能与蛋白质结合,吸入高浓度甲醛后,会出现呼吸道的严重刺激和水肿、眼刺痛、头痛,也可发生支气管哮喘。皮肤直接接触甲醛,可引起皮炎、色斑、坏死。经常吸入少量甲醛,能引起慢性中毒,出现粘膜充血、皮肤刺激症。孕妇长期吸入可能导致新生婴儿畸形,甚至死亡。男性长期吸入可导致男子精子畸形、死亡,性功能下降,严重的可导致白血病。
苯
苯在常温下为一种无色、有甜味的透明液体,并具有强烈的芳香气味。苯可燃,有毒,也是一种致癌物质。由于苯的挥发性大,暴露于空气中很容易扩散。人和动物吸入或皮肤接触大量苯进入体内,会引起急性和慢性苯中毒。有研究报告表明,引起苯中毒的部分原因是由于在体内苯生成了苯酚。长期吸入会侵害人的神经系统,急性中毒会产生神经痉挛甚至昏迷、死亡。在白血病患者中,有很大一部分有苯及其有机制品接触历史。

中国目前至少有400万白血病患者,每年至少以3万到4万的速度增加,其中50%是儿童,并以2-7岁儿童居多。近年来,儿童成了白血病的高发人群。其原因主要是儿童的免疫功能比较弱。室内装饰材料散发的有害气体、用药不当、食物中防腐剂超标、蔬菜上残存的大量农药、鱼禽肉蛋中的药物等都是儿童患白血病的诱因。

到目前为止,科学家并没有发现导致儿童白血病的明显诱因。但医学界普遍认为,除了家族遗传,环境污染应是儿童白血病的重要诱因。当年,日本广岛原子弹爆炸后,当地白血病患者明显增多的现象,就让科学家将白血病与环境污染挂上了钩。近来,医学界警觉的目光,逐渐落在家庭装修带来的室内环境污染上。北京儿童医院小儿外科主任医师臧晏经过半年调查发现,在她问诊过的白血病孩子当中,近90%的孩子家中近期都曾经装修过,而且不少孩子家里还是“豪华装修”。
虽然家庭装修是否会诱发小儿白血病还有待进一步考证,但一系列统计数据,让医学专家不得不做出如下推断:装修材料的有害物质造成的室内污染,极有可能是导致近年儿童白血病高发的一个重要诱因。
病例
4岁的男童海海是一名白血病患者。对于海海的患病,妇儿医院的专家也颇感意外,由于海海的家族成员中没有白血病史,故此可以排除遗传因素。然而,究竟是什么原因让海海患上了白血病的呢?与患儿家长聊天后得知,原来海海曾在装修后的新房内住了半年,之后就出现了白血病症状。

怎么样避免在装修时“引狼入室”,远离这些有毒致癌物呢?专家建议,堵住毒源,不让致癌物进家门是关键。首先,装修时要尽量选用环保材料,通常一些室内装饰材料,如刨花板、纤维板、塑料地板、胶合板、油漆涂料等,含有甲醛、苯、乙烯、甲醇等多种有害物质,而像花岗岩、大理石和某些彩釉砖等建筑材料,则可能产生氡、镭、钍、钾等放射性物质,应少用或不用,实在要用,应进行必要检测。其次,在装修完毕后,可委托专业环境检测机构进行检测。如果污染超标,应请专家提出合理解决方案。其三,装修后的居室,要空置一段时间才能住人,居住时还要经常换气通风,此外,还可在室内安放活性炭或空气净化器。
