据北京市科学委员会2011年的调查,过去20年间,北京市少年儿的童肥胖率增长了5-7倍,全市0-18岁的儿童青少年,有1/5为超重或肥胖,肥胖率居全国之首。根据北京市疾控中心慢性病研究所的监测,目前北京市6-18岁儿童青少年的糖尿病患病率高达5.4‰,而且肥胖程度越严重,2型糖尿病的发病率越高。此外,儿童肥胖症还与成人肥胖症、高血压、冠心病有关。因此,对肥胖机制进行研究,对防治青少年肥胖、以及提高其成年后的健康水准有着积极的意义。这里,科学家用磁共振来做了研究。
不是嘴馋,是“脑馋”
关于肥胖,一般人可能只了解生活方式(如吃得多、动得少)对其起到的影响,而并不知道它的内在机制。目前,科学界对肥胖研究的热点领域主要在中枢神经机制、遗传因素以及脂肪细胞凋亡异常等。
从中枢神经机制来说,营养物质能量的吸收、储备和利用都由中枢神经系统感知,这是一个十分复杂的平衡系统,从而保持相对恒定的能量储备和体重。科学家们发现,下丘脑在调节体重方面起重要作用,其外侧区(LHA)为“饥饿中枢”,是发动摄食的主要神经结构,而腹内侧核(VMH) 为“饱中枢”,两者功能相互制约,保持平衡。有科学家通过观察人脑在摄入四种物质(水、葡萄糖溶液、天门冬氨酰苯丙氨酸甲酯和麦芽糖糊精)的不同反应,发现只有葡萄糖能使下丘脑出现激活,说明,喜欢吃甜食的可不是我们的嘴巴,而是脑子。
“内胖”更可怕
肥胖者的脂肪不仅外在表现为我们看得到的“胖”(也就是皮下脂肪增多),还会积聚在内脏周围和肝细胞内。已有研究发现,腹腔内脂肪含量与胰岛素抵抗有更强的相关性。有研究发现肠系膜脂肪与心血管危险因子相关性较高;而肝细胞内的甘油三酯含量也与腹部脂肪含量密切相关。

磁共振成像扫描仪给正常女性和肥胖女性拍的图片,除了体表脂肪,内脏脂肪也清晰可见。
研究还表明,相对于外周脂肪多的人,内脏脂肪增多(尤其是肝脏、胃、心脏、胰腺等部位)的人群患心脏病、II型糖尿病、高血压的危险性更高。
因此,对体内脂肪组织分布的评价是研究肥胖机制重要的一部分,科学家需要一种方法用于测定腹部脂肪的分布,并可以区分皮下脂肪组织与腹腔内脂肪。
用磁共振“捕捉”肥胖出没
目前,使用影像学方法是测定脂肪分布的一个重要方法。影像学方法对肥胖症的研究主要有X射线、CT、超声、磁共振(MR)等。其中磁共振无射线污染、无创,并可以从功能研究,组织成分分析、脂肪组织定量测量等多角度来综合研究肥胖的机制,而磁共振波谱分析(MRS)则是目前唯一能够无创地相对定量分析人体肝细胞内脂质含量的方法。
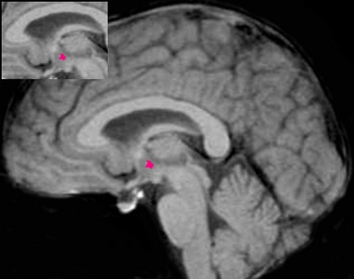
国内利用功能磁共振来进行肥胖机制的研究尚不多见。卫生部北京医院放射科副主任陈敏教授多年来一直从事磁共振成像的临床研究,他率先应用功能性磁共振(fMRI)观察不同体重者下丘脑对口服葡萄糖耐量试验的反应。研究观察到,不同体重者口服葡萄糖后在下丘脑部位均出现一过性的抑制反应,但肥胖者抑制反应出现的时间较正常体重者明显延迟;抑制反应的强度明显低于正常体重者;抑制反应恢复时间也明显迟于正常体重者。从而可以推论不同体重者下丘脑对糖负荷的中枢反应有所不同,肥胖者下丘脑对糖刺激反应的敏感性有所降低。

红色记号是功能性磁共振显示的肥胖者口服葡萄糖后下丘脑功能出现抑制反应的区域。

受到口服葡萄糖的刺激后,肥胖组(O,绿色)一过性抑制信号的强度明显低于正常体重组(C,蓝色),肥胖组从刺激信号产生开始到恢复至基线的时间也有明显延缓。以上两张图都由陈敏教授提供。
针灸减肥,有可能吗?
尽管对肥胖机制和相关神经递质的研究已经取得了很大进展,但没有解决的问题还有很多。比如,为什么相似的肥胖程度,内脏和外周脂肪的分布会因人而异;为什么有些药物(如一些激素和促进免疫功能的药物)会使人的外周脂肪减少而内脏脂肪增加,又比如,针灸为什么能减少人的食欲而起到减肥的效果。
由于青少年和儿童尚处于生长时期,减肥药不仅有肝肾毒性,还会影响其生长发育,不能用于青少年和儿童,除了从多角度来综合分析肥胖症的机理,陈敏教授主持的“北京市青少年肥胖症的功能磁共振研究”项目,就是希望通过功能性磁共振对针灸减肥的中枢神经机制进行研究。
在研究中,陈敏将观察肥胖症者与正常对照者对食物视觉、嗅觉、味觉刺激的反应差异,以及肥胖者接受针刺减肥治疗后对上述刺激反应的变化。其次,利用磁共振及MRS定量分析肥胖患者在针刺治疗前后其外周肝脏、骨骼肌、腹部皮下脂肪、腹内脂肪含量的变化。 此外,他还将应用免疫组化技术观察肥胖大鼠在接受针刺减肥前后其下丘脑NPY(神经肽Y)和五羟色胺(5-HT)[注]神经元的数量和染色深度的变化,以对针灸减肥手段的疗效进行评价,从而更深入全面的探讨肥胖症的机制。
目前,已通过此观察研究到,经治疗后的肥胖青少年外周和内脏脂肪均有减少,相关论文已发表于《替代与补充医学杂志》(Journal of Alternative and Complementary Medicine)。
不过,陈敏教授也指出,由于研究对象是未成年人,需取得其监护人同意接受针灸治疗,目前实验样本量较小。另外,还存在一些不可控因素,比如没有对照组;对青少年接受针灸治疗后饮食和运动状况也没有严格的控制等。接下来,他还希望能在暑期通过类似于减肥夏令营的形式,针对更大的样本量、展开对各项影响因素控制更严格的进一步研究。
此项目由北京市科委科普专项基金资助。
