
研究表明,特殊的脑部褶皱帮助人们区分想像与现实。
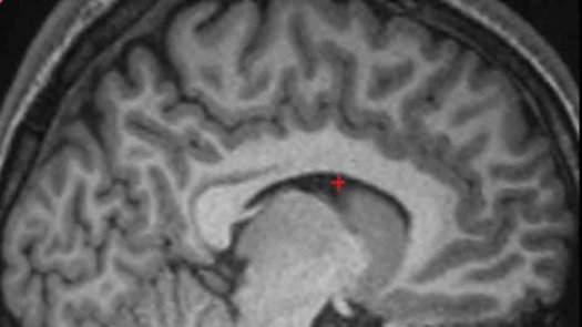
前脑一个被称为“副扣带沟(PCS)”的摺痕显然可以帮助人们更准确记住事情是想像出的还是真实发生了,或记住真正说话的是哪个人。据剑桥大学的研究人员称,这是人类出生前最后长出的几条结构性褶皱之一,而且每个人的大小迥异。研究人员说,有这种褶皱的人记忆力要比没有的人强许多。
据剑桥大学的新闻公报称,53名健康的、无认知困难史的成人志愿者参加了这项研究。研究报告发表在了《神经科学学报》上。每个人测试前都认为自己的记忆力很强。
参加者是根据核磁共振扫描成像来挑选的。从图像上可以清楚地看到他们是否有PCS褶皱。随后,让他们看结对和半结对的词———如“Laurel和Hardy”和“Laurel和?”。在第二轮测试中,要求他们想像另一个词,随后要么是他们,要么由研究负责人真正大声说出这个词。
随后对他们进行记忆力测试。测试中,无论是他们真看到了第二个词,或只是想像出这个词,他们都要努力记住,并要记住是谁大声读出的那个词。有PCS褶皱的人记忆的准确性常常要大很多。
这项研究对一些精神障碍方面的疾病会产生影响,如精神分裂症患者,对他们而言,现实和想像之间没有明确的界限。了解PCS在记忆和现实认知方面的作用可能会对药物治疗精神障碍疾病产生某种影响。
相关英文论文摘要:
A Specific Brain Structural Basis for Individual Differences in Reality Monitoring
Much recent interest has centered on understanding the relationship between brain structure variability and individual differences in cognition, but there has been little progress in identifying specific neuroanatomical bases of such individual differences. One cognitive ability that exhibits considerable variability in the healthy population is reality monitoring; the cognitive processes used to introspectively judge whether a memory came from an internal or external source (e.g., whether an event was imagined or actually occurred). Neuroimaging research has implicated the medial anterior prefrontal cortex (PFC) in reality monitoring, and here we sought to determine whether morphological variability in a specific anteromedial PFC brain structure, the paracingulate sulcus (PCS), might underlie performance. Fifty-three healthy volunteers were selected on the basis of MRI scans and classified into four groups according to presence or absence of the PCS in their left or right hemisphere. The group with absence of the PCS in both hemispheres showed significantly reduced reality monitoring performance and ability to introspect metacognitively about their performance when compared with other participants. Consistent with the prediction that sulcal absence might mean greater volume in the surrounding frontal gyri, voxel-based morphometry revealed a significant negative correlation between anterior PFC gray matter and reality monitoring performance. The findings provide evidence that individual differences in introspective abilities like reality monitoring may be associated with specific structural variability in the PFC.
英文论文链接:https://www.jneurosci.org/content/31/40/14308.abstract?sid=c92a05f3-74bc-4431-b5eb-57d87f97d394
