英国《自然-医学》杂志18日在其网站发表一项研究报告说,德国研究人员利用一种能够让癌变细胞发光的技术,成功完成了对卵巢癌患者癌变组织的精确摘除。这是医生首次将这种技术用于人类。

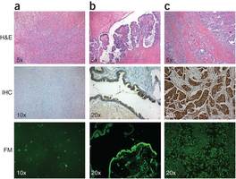
德国慕尼黑工业大学等机构的研究人员报告说,他们对卵巢癌患者进行了这种手术。大部分卵巢癌恶性肿瘤中的细胞都有一种特殊的受体,这些受体会与叶酸结合。因此,研究人员在叶酸中加上一种荧光物质,再将其注入相关组织中,结果与叶酸结合的肿瘤细胞会在特殊光线的照射下发出白光。

借助这一技术,研究人员在手术中精确摘除了癌变组织。领导研究的瓦西利斯•扎亚克里斯托斯介绍说,本次研究中用新技术摘除了大小不足1毫米的癌变组织,并且理论上这种技术的精确度可以达到50微米。
在癌症治疗中,现在虽然有X射线扫描、磁共振成像、超声波等多种手段来帮助判断肿瘤的位置和大小,但在更精确的尺度上,它们无法区分相邻的癌变组织和健康组织。而新技术能够帮助精确判断。
不过研究人员也表示,这项技术还需要进一步完善。比如现在所用的技术手段还只限于标识卵巢癌,将来也许可以通过使用两种标识手段,来确保标识出其他癌变组织。
生物探索推荐英文论文摘要:
Intraoperative tumor-specific fluorescence imaging in ovarian cancer by folate receptor-α targeting: first in-human results
The prognosis in advanced-stage ovarian cancer remains poor. Tumor-specific intraoperative fluorescence imaging may improve staging and debulking efforts in cytoreductive surgery and thereby improve prognosis. The overexpression of folate receptor-α (FR-α) in 90–95% of epithelial ovarian cancers prompted the investigation of intraoperative tumor-specific fluorescence imaging in ovarian cancer surgery using an FR-α–targeted fluorescent agent. In patients with ovarian cancer, intraoperative tumor-specific fluorescence imaging with an FR-α–targeted fluorescent agent showcased the potential applications in patients with ovarian cancer for improved intraoperative staging and more radical cytoreductive surgery.
