来自Genentech公司、斯坦福大学医学院、加州大学旧金山分校等多处的研究人员利用一种高精度蛋白质组学,识别出了与Jourbert综合症(Joubert syndrome, JS)等疾病相关的基因。这一研究成果公布在《细胞》(Cell)杂志上。
Joubert综合症是一种遗传疾病,影响小脑和脑干的发育,这些大脑区域协调动作、调节呼吸、吞咽、心率和意识等基础功能。这一最新研究证实了导致JS和cillia细胞结构遗传变化的关键信息。
尽管这种疾病很罕见,但之前的研究已经确定出了另外四个遗传标志物。研究人员相信这些发现具有重要意义。Joubert综合症能导致发育迟缓、运动协调性差、无规则呼吸、视觉缺陷、肾脏衰竭等。症状多使得诊断很困难。研究人员发现RPGRIP1L基因的突变为进行准确的DNA检测奠定了基础。这篇论文描述了一种能抑制两种特殊的cilia蛋白质之间的相互作用的基因突变。
这项研究的发现增加了人们对JS这种病的进一步认识和了解。这种基因的发现让研究人员进一步了解大脑、视网膜和肾脏的发育,更好地了解正常和异常的大脑并最终找到治疗相关疾病的有效方法。
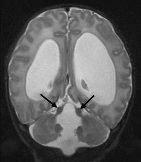
Jourbert综合症患者因小脑蚓部(cerebellar vermis)和脑干部分发育不良或畸形,而有程度不一的病症出现:包括缺乏肌肉控制力、呼吸过强(hypernea)、眼睛和舌头运动异常、和肾脏方面等问题。病症的严重程度不一可能因基因修饰者的存在而影响疾病严重和表现程度。此疾病相当罕见,病患数量少不易进行基因分析,因此相关基因研究相当缓慢。

Cell:研究识别出JS等疾病相关基因
生物探索推荐英文论文摘要:
Mapping the NPHP-JBTS-MKS Protein Network Reveals Ciliopathy Disease Genes and Pathways
Nephronophthisis (NPHP), Joubert (JBTS), and Meckel-Gruber (MKS) syndromes are autosomal-recessive ciliopathies presenting with cystic kidneys, retinal degeneration, and cerebellar/neural tube malformation. Whether defects in kidney, retinal, or neural disease primarily involve ciliary, Hedgehog, or cell polarity pathways remains unclear. Using high-confidence proteomics, we identified 850 interactors copurifying with nine NPHP/JBTS/MKS proteins and discovered three connected modules: NPHP1-4-8 functioning at the apical surface, NPHP5-6 at centrosomes, and MKS linked to Hedgehog signaling. Assays for ciliogenesis and epithelial morphogenesis in 3D renal cultures link renal cystic disease to apical organization defects, whereas ciliary and Hedgehog pathway defects lead to retinal or neural deficits. Using 38 interactors as candidates, linkage and sequencing analysis of 250 patients identified ATXN10 and TCTN2 as new NPHP-JBTS genes, and our Tctn2 mouse knockout shows neural tube and Hedgehog signaling defects. Our study further illustrates the power of linking proteomic networks and human genetics to uncover critical disease pathways.
