新型试剂可能颠覆现有医学成像技术
在生物和医学研究中,经常要观察生物体组织的样本。对研究人员来说,如果能使生物组织样本变透明,会便于观察。日本科学家近期研制成功一种特殊的试剂,只需将生物样本浸泡到这种试剂中,就可以让组织变成得如果冻般透明。

这是一个小鼠胚胎,左侧是经盐水浸泡后的效果,右侧则是经过Scale试剂浸泡过后的效果。(图)
这种神奇的试剂被命名为“Scale”,研究人员借助这种试剂甚至可以直接对器官组织内部事先采用荧光标记的细胞和其他三维内部结构进行观察。
现有设备如光学显微镜、电子显微镜等往往“只见树木不见森林”,只能在小的尺度上观察样本,而磁共振成像、正电子发射断层扫描等技术则是“只见森林不见树木”。新型试剂如与荧光成像技术联合使用,既能看到“森林”也能看到“树木”。
美国加州大学洛杉矶分校医学院神经学家保罗•汤普森(Paul Thompson)说:“我本人已经在医学成像领域工作超过20年,但是当我看到这项技术时仍然感到大吃一惊。”研究人员们表示这项技术的出现将有可能颠覆现有的医学成像技术。
详细报道:日本科学家研制特殊试剂让生物体变透明
生物医学成像技术在过去几年取得了突飞猛进的发展,如今,这些新技术可以甄别人体任何结构以及许多重要生物过程,比如不同的血流速度。下面我们通过一组精美的图片,来盘点一下其他生物医学成像技术。
1、弥散张量成像( DTI )

精神分裂症患者大脑弥散张量成像(DTI)
一种描述大脑结构的新方法被称为弥散张量成像(DTI)。这张图便是医疗人员在研究精神分裂症患者时,利用弥散张量成像技术制作出来的。

像这样的弥散张量成像图(呈现方式与以前的图像不同)可以揭示脑瘤如何影响神经细胞连接,引导医疗人员进行大脑手术。
弥散张量成像其实是核磁共振成像(MRI)的特殊形式。举例来说,如果说核磁共振成像是追踪水分子中的氢原子,那么弥散张量成像便是依据水分子移动方向制图。神经细胞纤维长而薄,分子通常会沿着神经细胞纤维扩散。研究人员可以突出水分子和一组组神经细胞纤维以相同方向运行的部位。像这样的弥散张量成像图(呈现方式与以前的图像不同)可以揭示脑瘤如何影响神经细胞连接,引导医疗人员进行大脑手术。它还可以揭示同中风、多发性硬化症、精神分裂症、阅读障碍有关的细微反常变化。
2、X光血管成像术

X光血管成像术让手上如此细小的血管都呈现出来。由这种最新数码探测仪生成的图像质量可以让放射科医师不用使用高剂量辐射物,也能看清楚器官的细微之处。这张照片显示了手外伤的直接影响——没有血液流向第四根手指,而其他手指的小血管却清晰可见。

X光血管成像术
制作有用的医学图像涉及两个主要步骤:一是搜集数据,二是将这些数据转换为可快速、准确解读的图像。这张图像由一种称为X射线断层成像(简称CT)的先进X光技术生成,突出了上述两个方面的进步。体绘制软件(Volume-rendering software)结合CT血管成像技术,可以识别心脏附近主动脉(从图像顶端延伸至身体下部、心脏周围的大片粉色血管)的异常情况。再往下,可以清楚看到肝脏(紫色)和肾脏(鲜红色)。准确测定主动脉直径至关重要,因为外科医生可以借此判断主动脉是否存在破裂的风险。
3、内窥镜成像

这是科学家用内窥镜拍摄的8周大的胎儿。快速发育的胎儿在胎囊内受到很好的保护。
内窥镜是一个配备有灯光的管子,它可以经口腔进入胃内或经其他天然孔道进入体内。利用内窥镜可以看到X射线不能显示的病变,因此它对医生非常有用。
4、CT血管成像

对于此处用以显现骨盆的CT血管成像来说,成像剂会注射到静脉,使血管同软组织形成鲜明对比。电脑软件可以进一步凸显骨骼和血管之间的差别,让医生可以做出更明确、更快速地诊断。

此图中的两只手是尸检扫描的结果
通常情况下,CT使用一个X光源,但研究人员可以将两个不同能量的X光源结合起来,更清晰地呈现软组织。根据特定组织(比如图中两只手的腱和韧带)吸收不同能量的事实,仪器可以突出展示它们的图像。为检验这种呈现方式的准确性,研究人员对尸体进行了扫描,将扫描结果同他们的“虚拟”发现相比较。此图中的两只手就是尸检扫描的结果。当然,CT技术的主要目标是改善健康,但也存在用于虚拟尸检的可能性。作为法医检查的一部分,像这样的CT扫描可以揭示小刀等物体的路径。
5、核磁共振成像( MRI )

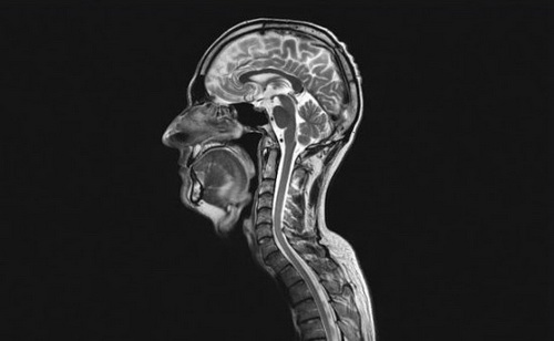
在核磁共振成像仪器下,患者躺在圆柱形磁体内,暴露于强大的磁场。一旦暴露在磁场中,水分子的质子会排成一行,要是遭到无线电波的攻击,它们会立即乱作一团,不成直线。在质子重新排列过程中,电脑会收集它们的信号,并加工成图像。富含水的组织会发出更强烈的信号,在生成的图像中看上去更亮,而骨骼相对较暗。这项技术用在此处是来描述大脑和颈部动脉的。在注射了用于对比的成像剂以后,放射线专家重复扫描,这时,成像剂在血管中移动,使他们可以看清楚造成中风、脑动脉瘤和各种外伤的堵塞物。

脊椎管和大脑处的明亮区域表示脑脊髓液
核磁共振成像技术还经常用在神经成像方面。脊椎管和大脑处的明亮区域表示脑脊髓液;向下延伸至身体的长条状体则是脊髓。
6、正电子放射层扫描术( PET )

很多医学成像技术主要集中在解剖构造方面,正电子放射层扫描术(PET)有所不同:这种技术生成的图像突出了细胞活动。医生先给患者注射放射性示踪剂,接着,吸收示踪剂最多的细胞会发出亮光。此图中的示踪剂是葡萄糖。癌细胞会快速生长并分裂,因此会消耗大量能量,吸收葡萄糖。红色表示患者肝脏和肩部有问题。大脑和心脏(C形红块是心脏肌肉壁,即心肌层)同样会大量消耗能量,所以也会呈现出来。PET扫描和CT扫描二者结合,能够突出图中的人体构造。图一是PET扫描,图二是CT扫描,图三是PET扫描和CT扫描的结合,这使得医生可以更准确地看清楚问题所在。同核磁共振成像仪一样,正电子放射层扫描仪可以采集多个平面的数据。在这三张图中,分别只有一个“切片”显示出来,只要结合所有这些切片,就能生成三维图。

在这张图中,PET扫描确认的癌组织是蔚蓝色圆团状物体,而CT扫描锁定了它在结肠的位置。
根据CT扫描,肾脏(红色)、骨骼和血管的结构也都清晰可见。PET技术最常用于肿瘤学检查,也应用于心脏病学和神经病学领域。生成此图的仪器制造商“GE Healthcare”日前引进了两种系统,帮助研究人员探索新的临床应用。据美国放射学学院的布鲁斯·希尔曼(Bruce Hillman)介绍,由于可以监测细胞功能,PET就是一系列用以监控人体细胞和亚细胞新工具的典型代表。
生物探索推荐:生物医学影像设备发展简史
