
近日,在瑞典皇家工学院的一项研究中,睾丸被确定为人体中最为独特的一种组织类型。研究人员详细分析了人体各种组织中活跃的蛋白质,结果显示,睾丸所需的一系列蛋白质是最为特别的。该研究属于人类蛋白质表达图谱项目(Human Protein Atlas project, HPA)的一部分,该项目被认为是非常重要的基础研究,将非常有助于开发新的药物。
人类脱氧核糖核酸(DNA)中含有能合成约20000种蛋白质的信息,而蛋白质正是维持我们身体运转的最小生物机械单元。在细胞中,活跃蛋白质的组合决定了细胞的功能,例如,肾脏中过滤血液的细胞与大脑中神经元的工作方式就完全不同。
“管家蛋白”
现在,科学家已经确定出在不同组织发挥不同功能的蛋白质种类,他们希望这些发现能为未来的医药开发提供帮助。
项目的领导者Mathias Uhlen教授说:“令我们惊奇的是,只有非常少数的蛋白质会在人体不同部位中丰富存在,而在20000个基因中,占几乎一半的基因所表达出来的蛋白质,在人体所有的细胞和组织中都能找到。”这些蛋白质被称为“管家蛋白”,是维持所有细胞功能所必需的。

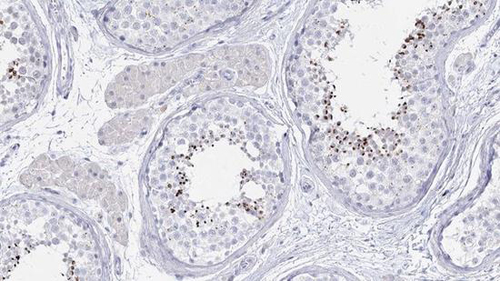
更令人惊讶的是,人类睾丸中包含了999种独特的蛋白质。相比之下,大脑皮层只有318种独特蛋白质,肝脏有172种,平滑肌则为0。Mathias Uhlen教授说:“如果你对大脑和神经系统疾病,甚至退行性疾病如阿茨海默症等感兴趣,那你肯定想了解大脑中有哪些蛋白质在发挥作用。”
他推测,睾丸之所以如此独特,是因为精子的产生是一个十分复杂的过程。在减数分裂后形成的细胞只含有正常细胞一半的DNA。当然,卵巢中也可能含有同样多的蛋白质,但是太难测量,因为卵子形成于胎儿时期。
“所有药品的目标蛋白质约有600种,因此,你可以通过这些蛋白质在人体中的分布,来了解不同药物的副作用。” Mathias Uhlen教授说道。
研究团队利用抗体来识别不同的蛋白质。他们将32类组织——代表了人体中所有主要器官和组织——暴露在抗体中,如果有某种抗体与目标蛋白质结合,就表明该蛋白质在这类组织中得到了表达。研究团队的目标是开发出一个“病理学图谱”,以揭示在疾病中是哪里出了错,以及与哪种蛋白质有关。
Ewan Birney博士是欧洲生物信息学研究所的副所长,他认为该项目将为更快地认识DNA提供很大帮助。“在人类基因组项目中,这个图谱将成为非常重要的基础性资源,”他说,“它将同时促进基础医学和临床医学的发展。与基因组相比,这个项目更加接近实践应用。”
Ewan Birney博士还认为,睾丸之所以具有更多的独特蛋白质,是因为在产生大量精子的过程中,需要避免遗传编码中产生任何的错误。普通细胞中的突变可能最终会导致癌症,但精子的突变则可能阻止其与卵细胞的结合。
推荐阅读:
