
痛苦的痒和快乐的搔痒
晚唐著名诗人杜牧这样描述搔痒:“杜诗韩笔愁来读 ,似倩麻姑痒处搔”。读优美的文章,就如那美丽的仙女麻姑,用她那灵巧、纤长的手,为自己挠痒一般快乐。传说中的仙女麻姑的手指细长如鸡爪,又叫麻姑爪。据史书记载,“背大痒时,得此爪以爬背,当佳也”。
法国散文家蒙田也说 “搔痒是轻而易举就可以让人感到最甜蜜的满足之一”。确实,还有什么能象挠痒这样随手而来、并且公开可以让自己立刻满足的好事呢?
可是,持续不可遏制的痒,又可以叫人痒不欲生,有时甚至比痛还难受,俗话说:“痛可忍,痒不可忍;苦可耐,酸不可耐。” 。 意大利诗人但丁在神曲“地狱篇”也说: 在地狱里惩罚伪造者的最好办法就是让他们从头到脚都是斑斑的疥癣,奇痒无比,只能把指甲深深掐入肉中,但也无法止痒! (图)”

图一:地狱里为瘙痒而折磨得死去活来的伪造者们
法国大帝拿破仑,在很多肖像画里不寻常的经典姿势,引起很多人的兴趣。他的右手都是习惯性地插进外套里,而左手则放在背后(图2)。美国Temple 大学的皮肤学Friedman教授考证后认为,拿破仑患有某种皮肤瘙痒病,也有说是疥疮,皮肤干燥脱皮发痒,所以他的手要放在胸前,方便抓痒。这也许就是著名的拿破仑之痒的由来。

图二:拿破仑之痒?
痒觉存在的意义
我痒,我挠,故我在。痒是一种感受,这种感受,很多人以为来自皮肤,其实源于大脑。痒的定义,就是一种让人很不舒服,因而产生强烈的抓挠的欲望。英文里,ITCH,也指强烈的挠痒的欲望。所谓一时手痒,一时技痒,就是说控制不住自己。
那么我们为什么会痒?痒觉是什么?为什么有时会越挠越痒? 这些都是不仅让一般人,而且也让科学家们感到困惑,可是却很有意思的问题。
痛觉, 触觉和温觉等,都是动物最基本的身体感觉,没有这些感觉,我们无法生存。动物的皮肤,是身体所有器官中最大的,也是身体抵御外来伤害的第一道屏障。 各种感觉的存在,既是为了我们的身体直接感受环境和外面世界的精彩,也是为了保护我们的身体不受到外界环境的伤害。
有了痛觉和触觉,为什么我们还要有痒觉?从进化的角度,我们可以想象一下,远古的先人,没有衣服保护,生活在无处不在的充满形形色色的害虫和虱子的原始森林里的场景。比如吸血的蚊子盯上了你,你不感到痛,不感到热,不感到冷,更不觉得触碰到什么东西,那么就需要一种别样的感觉来提醒你:有外物侵犯了你的身体。这或许是痒觉存在的来源。虽然当你感到痒时,蚊子已经飞走了,但起码你知道哪里有蚊子。所以, 痒觉是一种特殊的提醒机制,保护机制。即使动物有厚厚的毛发,很多虱子虫类会寄生其中,这时也要有痒觉来提醒。
既然痒觉对动物的生存非常重要,没有手的动物如何挠痒呢?没有手,大象可以用鼻子。狗可以靠着树蹭。海狮可以贴着岩石。鱼类,可以在水面上跳跃。对手伸不到的地方,可以用嘴来舔,甚至在地上打滚。总之,八仙过海,各显神通,动物有自己的办法,保证及时清除对皮肤有损害的寄生虫等。
虽然痒是一个独立的感觉,它和皮肤接收的痛觉,触觉,压觉和温觉等有紧密的关系。挠痒就是一个刺激触觉和压觉的过程。触觉激发到一定程度,就变成机械疼痛。冷可以抑制痒,热可以使痒恶化。
痒和痛:兄弟还是情敌?
很多人以为痒痛不分家,把痒和痛归为一类,认为痒不过是痛的轻微表现形式罢了。古籍“诸病源候论”里,就论道“风瘙痒者,是体虚受风,风人腠理,与气血相搏,而俱往来于皮肤之间。邪气微,不能冲击为痛,故但瘙痒也”。 古人把痒解释为一种在皮肤里游荡,但是又不够变成疼痛的气。
一些临床观察也支持痒和痛的传递用同样的神经回路的观点,对慢性疼痛的病人,如果切断神经上行环路中的一部分,比如脊髓丘脑束,病人会感到痛觉和痒觉同时消失了。可是,他们的触觉却完全正常。正所谓,不痛不痒。
虽然痒和痛有很多相似处,但它们却是完全不同的感觉,产生相反的肢体反应。身体某个部位痒了,你会情不自禁地伸手挠它;受到外物伤害刺激感到疼痛了,你会条件反射性地做收缩回避。身体里某个部位痛了,你不敢碰它。碰到痛处,你就跳脚。可是挠到痒处,那种快感,不可言喻。痒并痛苦着,挠并快乐着。
显然,疼痛和瘙痒,是截然不同的感觉,人们很难混淆这两种感觉。痛和痒,有你没我,不能共存。皮肤损伤的地方,隐约有痒之时,就是皮肉康复之际。 “皇帝内经”里就说:“痛者阴也,痒者阳也”。一阴一阳, 痒和痛是对立统一的关系。
痛和痒的感觉信息,都是由大体相同的感觉神经通路传输的, 痒觉的感受器,存在于遍布于皮肤的神经末梢中。痒的信号,经外周背根神经节,传到中枢脊髓,再由脊髓,最终传到大脑。 可是,一些能够被致痒物激发的痒的感受器,也能传递痛的信息,比如遍布皮肤的组胺受体。由此引发出一个很有意思的问题:神经细胞和回路是如何区别痒和痛的信息呢?我们神经系统里有没有专职传递痒觉的神经细胞呢? 如果有,这些神经细胞之间是用何种“语言”,或叫神经递质,来进行信息交换和传递的呢?

图三:痛和痒的神经回路
法国哲学家笛卡儿设想的人体疼痛回路:人感受到火的痛刺激后,信息由脊髓传递到大脑 。一个关键问题是:痒也是用同样的回路吗?
痒基因和痒神经元的发现
一个多世纪来,科学家们一直在寻找真正的专门只传递痒信息的基因和神经,也一直为之争论不休,很多科学家并不相信有特异的痒基因或神经细胞的存在。
2007年,这个问题终于有了令人意想不到的答案。我在美国圣路易华盛顿大学的实验室,从2003年初开始,就致力于在小鼠脊髓里寻找和痛觉有关的基因。我认为,在中枢脊髓里,很有可能有传递痛的关键基因,如果找到这些基因,对了解痛觉的传递,有重要意义。
在众多基因里,我们发现一个叫胃肠道释放素受体 的基因(gastrin releasing peptide receptor, GRPR)表达在对传递感觉信息很重要的地方(图四)。起初,我们以为这是一个和痛有关的重要基因。可是,通过基因剔除GRPR后,小鼠对痛刺激的反应却完全正常,说明GRPR与痛无关。这样的结果,对于最初设想来说非常令人失望。所谓有心摘花花不开,几年心血白费了。


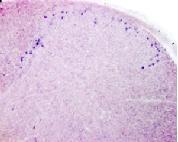
图四:左:小鼠用后肢挠痒 。
右:小鼠脊髓里专门传递痒信息的GRPR神经元 (蓝色的表示GRPR)
在失望中,我们不甘心就此宣告完全失败,所以多加几个实验,看看能否捞稻草。没有想到的是,把胃肠道释放素或GRP注射到小鼠脊髓里后,小鼠立刻全身抓起痒来!(图四) GRP是一种很小的生物活性多肽,它结合到GRPR受体后,就可以激活GRPR来传递信息。因为我们知道GRP或GRPR和疼痛无关,这样第一个专门传递“痒觉”的多肽和它的受体,终于意外地被发现了!这结果,真是令人激动,对我们最初专注痛觉研究来说,也算是无心插柳柳成荫。从此,研究痒的基因成为一个全新的快速发展的热门领域。
我们随后发现,把表达GRPR的神经元在小鼠的脊髓里杀死,不论我们在这些小鼠身上注射何种致痒物,小鼠都不抓痒。这说明,没有GRPR神经元的小鼠,完全失去了感受痒觉的能力。更有意思也令人震惊的是,这些丧失痒觉的小鼠,对各种痛刺激的反应则完全正常。这些令人不可置信的发现,提示GRPR神经元就像一个传输痒信息的闸门,门关闭了,大脑就感受不到痒的信息,就不挠痒。
这些发现,第一次证明痒和痛是可以在分子和细胞水平上分开的。一旦发现了关键的痒特异性基因和神经元,一些长久以来令人困惑的问题就比较好回答了。对于痒的研究来说,这是踏破铁鞋无觅处、得来全不费功夫,因为这不是投入痒的经费和人力研究出来的。
1970 年,意大利罗马大学的科学家V.Erspamer 从欧洲铃蟾皮肤中首次提取出来一种叫蛙皮素的含14个氨基酸的多肽。有意思的是,八十年代初,科学家就已经观察到,只要把蛙皮素或GRP注射到各种动物脑中或脊髓中,动物就会出现搔挠行为。当时,大家没有把这种行为和痒觉联系在一起。或许因为不知道动物搔挠行为代表什么,也有人猜和疼痛有关。最后一次关于蛙皮素和受体功能的国际大会于1988 年在罗马召开后,这一领域的科学家,退休的退休,转行的转行,随着这一领域的末落,渐渐地,大家就忘了这一现象。
蛙皮素在哺乳动物中的类似物,就是胃肠道释放素或GRP,顾名思义,GRP在胃肠的分泌物中也很多。谁也没想到,在哺乳动物的背根神经元和脊髓里,GRP这个小小多肽,就是专职携带痒的信息的使者,真是几番寻寻觅觅,却是旧时相识!
现在我们可以这样来解释痒觉的发生:如果某种致痒物,接触到皮肤后,就会引起一系列的炎症反应,导致GRP从背根神经元中枢末端的快速释放,激活其受体GRPR,这样痒的信息就通过脊髓的痒神经元迅速地传递到了脑子里。我们的大脑,就会发出相应的指示,我们的手就会按照指示去搔挠致痒物接触到的身体部位以缓解痒的感觉。
虽然在脊髓里,痒和痛的信息的传递可以分开,可是在神经通路的传送中的某一段路,痒和痛还是有可能共用相同的通路。 打个比方,如果交通拥挤的话,大家都过不去,速度就会很慢。这时如果让汽车牌照单数的1,3,5行驶,而双数牌照的2,4,6行驶,就可能解决拥挤问题。当痒的信息在传递时,痛的信息传输就会受到阻碍。这也可以解释为什么我们一般不会同时感受到痒和痛。
慢性痒:生命中不能承受之煎熬
急性痒挠挠就好了。可是慢性瘙痒却给很多人的生活造成了极大的困挠:本已夜阑人静,怎敌他,蓦然痒起,越痒越搔越痒,无奈满身红肿堆积,点点斑斑,漫漫长夜,最难将息。
为慢性瘙痒所折磨的人,其实比例相当大。比如银屑病,又称“牛皮癣”,还有 “湿疹”等慢性过敏性皮肤病等,中国的患者有好几百万人。很多慢性痒,也是对身体健康亮出的红灯。肝胆疾病,内分泌失调,代谢性疾病,慢性肾炎、尿毒症和肾功能衰竭引起的瘙痒,刚开始皮肤上看不出来,其实是预示身体出了问题。这些体内的代谢失调,会不小心激活和开启脊髓里的痒通路,使得平时受到严格控制的痒信息传递,失去控制。这时,大量的痒信息,就会象泄洪般,源源不断地通向大脑。很多病人,因为严重的瘙痒,甚至都会产生自杀的念头。
除了少部分由组胺介导的过敏引起的急性痒外,慢性瘙痒用抗组胺治疗是无效的。如果长期使用激素类外用药物象肤轻松等,身体就会有很多不良反应,比如出现皮肤干燥萎缩等副作用。
急性痒变成慢性瘙痒,是一个好事变坏事的过程,这个过程是如何转换的?
我们的小鼠动物研究发现,慢性瘙痒时,痒的信号得到了放大: 具体表现在GRP和GRPR痒特异的基因在痒觉通路里的表达增加很多。在有慢性瘙痒的猴子和患湿疹的病人里也观察到了GRP和GRPR表达的增加。
这些发现,对临床也有意义。由于现在还没有什么有效的治疗慢性瘙痒的药物,研发新型的有效的治疗慢性瘙痒的药物,就成了当务之急。将来如果能做出阻断痒信号传递的药物,比如如果能开发出针对GRP或GRPR的阻断剂,治疗慢性瘙痒或许就有了希望。
为什么会越挠越痒呢?
虽然痛和痒通过不同的脊髓神经细胞进行传递,但是痛却可以抑制痒。所以挠痒的目的就是引起疼痛,从而抑制痒信息的传递。通常急性痒时,轻微的抓挠引起的些微疼痛,就足以缓解痒的感觉。
可是在慢性瘙痒的情况下,搔挠虽然可以短暂止痒,但很快反而更痒,而越痒,就需要更使劲地搔挠。我还清楚记得自己七,八岁时,得湿疹的悲惨情景。有时抓痒抓的满脸鲜血,甚至伤痕累累,越挠越痒,形成恶性循环。这种情况下,以痛止痒就只能起到适得其反的效果。
一种可能是,挠痒引起的疼痛,会导致大脑镇痛系统的启动,这种负调控目的是保持机体的感觉平衡。可是,分泌初的抑制疼痛的神经递质,或许可以同时刺激痒信息的传播。结果就是越痒,越抓,镇痛和促进痒的神经递质就分泌越多!这也许解释为什么瘙痒引起的疼痛不是那么令人难以忍受。
痒:一种情绪的表达
痒还是一种心理情感的表达。痒起来,人就感到不舒服。“七年之痒”,指的就是平淡乏味的婚姻生活,在第七年到了一个痒的临界点 (ITCH)。这时婚姻中的一方,如果还没有完全麻木,得过且过,就很容易会心痒起来,日有所思,夜有所想,渴望(ITCH)变化,去摆脱如死水般的婚姻状态。
有些人回答不了问题时,会挠头皮。英国科学家达尔文在他的“论人和动物情绪的表达”一书中就描述说:“心理困惑的人,经常挠头皮;我相信他这样做,是出自一种习惯,好像在经历一种很不自在的感觉:那就是,头皮发痒,必须靠搔挠来缓解”。
你熟悉的人来挠你咯吱时,你会感到好痒,有趣,好笑。陌生人来挠你咯吱,你很紧张,就笑不起来。别人给你挠痒,比自己亲手挠,要爽得多。
搔痒和打哈欠一样,有很强的传染力。看到别人挠痒痒,你也会情不自禁地挠起来。此时此刻,您在读这篇文章时,下意识也许就有挠痒的冲动。
神经质似的瘙痒和精神心理因素有很大的关系。有的和精神强迫症有关。有人挠头皮会上瘾。精神紧张时,有人会全身发痒。
很多宠物狗,到了夜深人静的时候,就开始挠痒和叫唤,吵得主人不得安宁。一个原因是,白天很多东西干扰,就分散了狗的注意力,痒就感觉不那么强烈。同样,慢性瘙痒的病人,最大的烦恼是,辗转反侧,夜不能寐。
更多的关于痒的问题
找到了小鼠中的痒神经元,并不就是大功告成了。相反,这只是万里长征的第一步。整个感觉系统非常复杂,毫无疑问,有更多的问题,需要做进一步研究。瘙痒信号是如何在第一时间形成的?痒的信息是如何由脊髓传递到大脑的?不同种类的疾病是如何激活瘙痒受体?冷水为何止痒,热水为何使皮肤更痒?大脑又是如何区分痒和痛的?大脑里有没有专门负责传递痒信息的神经元?
痛,可以让你刻骨铭心;痒,可以让你朝思暮想。研究痒的发生和传递机制,对我们了解痛的发生,也有指导意义。比如痒特异性神经元的存在,也揭示了痛特异神经元存在的可能。痒和痛,是感受生命存在的重要指标,研究它们它们的发生和传递,是令人着迷,充满趣味,很有意义的。我们对痒觉的了解,才刚刚开始,今后二十年内,一定会涌现出很多关于痒的激动人心的发现。
编者注:陈宙峰 ,美国华盛顿大学教授。因为陈宙峰的发现,美国圣路易斯的华盛顿大学成立以他为首的痒觉研究中心,这也是世界首个痒觉研究机构。他证明了“痒”和“痛”,这两种常被混为一谈的人类感受,在分子和细胞水平上是分开的。
