
细菌与人类疾病有着千丝万缕的联系,具体到癌症,最臭名昭著的是幽门螺杆菌。
研究者们将李斯特氏菌和元素铼这两种风马牛不相及的力量联合起来,借助前者兼性厌氧的特性与后者的放射性,开辟了一条对付转移性胰腺癌的“蹊径”。
细菌,一种原核生物,它们的苗条体态远在人们的目力所及范围之外。不过,米饭的馊味以及浴室墙壁上的滑腻感又在不时地昭显着它们的存在。肿瘤是由一群与人体细胞同文同种的真核细胞所组成,这些“叛逆者”凭借基因突变所赋予的强大能力,在人体内叫嚣,给患者造成莫大的痛苦。那么,如果这两种在进化树上几无交集的细胞展开暗战,又是怎样一番情形?
以毒攻毒
不久前,《美国国家科学院院刊》报道了阿尔伯特·爱因斯坦医学院微生物与免疫学系研究者 Claudia Gravekamp 等人的研究成果。研究者们将单核细胞增生李斯特氏菌(Listeria monocytogenes,以下简称李氏菌)和元素铼这两种风马牛不相及的力量联合起来,借助前者兼性厌氧的特性与后者的放射性,开辟了一条对付转移性胰腺癌的“蹊径”。
在人体内,胰腺是仅次于肝脏的第二大消化腺,这里每天会分泌约1000毫升消化液,其中的各种酶类对于食物的分解和吸收必不可少。不过,胰腺细胞如果发生癌变,相当凶险。大部分胰腺癌患者在察觉到病情时往往已进入到晚期,“狡兔”一般的癌细胞此时早在机体其他部位建立了巢穴。正因如此,依靠目前的治疗手段对付胰腺癌难以有满意的疗效,仅有不到4%的患者能活过5年,这也成就了其“肿瘤之王”的恶名。根据目前的流行病学统计,在肿瘤杀手排行榜上,胰腺癌的发病率虽然挤不进前十的榜单,但致死的人数却高居不下。
在 Gravekamp 博士的研究中扮演重要角色的李氏菌虽然名称拗口,但在自然界中随处可见,人类的各种食物中也有广泛的分布,有些种类的李氏菌还会引发严重的食物中毒。不过这项研究使用的李氏菌并非野生型菌株,而是经过基因工程改造后得到的减毒株。正常情况下,感染这种减毒菌株只会引发一些流感样的症状,很快就会被机体免疫系统消灭。
此外,李氏菌还是一种典型的胞内寄生菌,而且它的寄主谱相当广泛,吞噬细胞、上皮细胞、干细胞甚至神经细胞都能成为它的“居所”,一些肿瘤细胞也能为其所用。肿瘤组织内部及周边存在缺氧及免疫系统警惕性偏低的特征,这样的微环境为李氏菌寻找并定植在这里营造了得天独厚的优势。Gravekamp 博士在先前的研究中观察到,在荷瘤小鼠尾静脉中注入一定数量的李氏菌后,数天之内其他部位的细菌就会被动物自身的免疫系统清除殆尽,而在肿瘤组织附近和内部却依然存在。基于这些特点,Gravekampp 博士认为,如果要组装一台针对肿瘤的大杀器,李氏菌完全可以承担“制导”的重任。
接下来,研究小组面临的任务是“弹药”的选择。起初,列入备选对象的是肿瘤化疗药物,但考虑到单一药物的杀灭对象不够广以及可能存在的耐药风险,在核医学家的建议下,放射性元素铼成为最佳候选,这种在元素周期表中排名 186 位的金属通常用于常规放疗。Gravekampp 博士与其同事借由一种单克隆抗体,将铼与李氏菌连接到了一起。自此细菌暗战肿瘤的“神器”便构造而成。
根据之前的方案,研究者将一定浓度且连接有放射性铼的李氏菌经由罹患转移性胰腺癌的试验小鼠的尾静脉注入到其体内。短短十几天,小鼠体内的肿瘤细胞就减少了九成之多,相对于胰腺癌原发灶,放射性李氏菌对转移灶的杀伤效果要更好,而胰腺癌造成患者死亡的主要原因正是远端转移。
早前,研究者担心铼的放射性对正常组织产生伤害,令人意外的是,这种不良作用并没有出现。虽然观察到在小鼠的肝脏和肾脏等代谢器官存在较多的铼,但是凭借机体的自我损伤修复能力,这类强度水平并不会造成太多伤害。
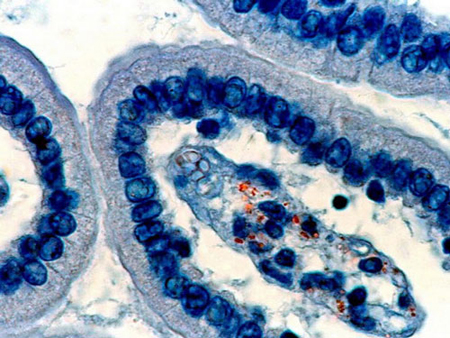
李斯特氏菌穿过小鼠小肠段肠道屏障的光学显微照片。在试验中,只有细菌与肿瘤细胞相遇后,才会发出荧光。通过这一方法,人们通过活体小鼠实时观察到细菌在肿瘤组织中的分布。图中细菌出现在红色标记处。
Coley 毒素
众所周知,细菌与人类疾病有着千丝万缕的联系。具体到癌症,最为臭名昭著的是幽门螺杆菌。1994 年,世界卫生组织国际癌症研究机构将其列为胃癌的类致癌因子。澳大利亚科学家爱学者巴里……马歇尔和罗宾……沃伦,因为发现并证明幽门螺杆菌感染胃部会导致胃炎、胃溃疡和十二指肠溃疡而荣获2005年诺贝尔生理学或医学奖。不过,有时候特定细菌的某些特性也能给肿瘤的治疗带来意外的好处,而科学家们在这一领域的探索已有一百多年的历程。
1890年,William B.Coley 作为一名骨科医生在纽约纪念医院已经小有名气,曾被誉为“外科明日之星”。一天,他接诊了一位罹患恶性肉瘤的17岁少女,后者右手长有一个生长迅速并带来很强痛感的肿瘤。当时医学界对这种情况并没有太多好的选择,唯有截肢。不过这并没有挽回患者的生命,3个月后,她很快因为肿瘤细胞的转移而去世。这一病例对 Coley 打击很大,他开始暗下决心,希望能找到一种更加有效治疗癌症的方法。
不久后,他发现一例恶性肉瘤被神奇治愈的病例。这一次,肉瘤侵袭的部位是患者的脸部。肿瘤经过数次手术切除,但均未好转,而且屡次复发。由于当时无菌手术理念尚未深入人心,这位倒霉患者的手术创面还感染了化脓性的链球菌,而抗生素的发现尚待数十年后。这位患者只有依靠自身的免疫系统来度过险境。
根据当时的病历记录,患者历经数次高烧,但每次高烧后,脸部的肿瘤都会小一些,最后肿瘤竟然完全消失。
在这一病例的基础上,Coley 医生开始了大胆的尝试——向肿瘤内部注射链球菌。第一例就获得了令人兴奋的成功:一位长期卧床、机体发生多处转移的恶性肉瘤患者被完全治愈,直至 26 年后死于心脏病。这一病例轰动了当时的医疗界,人们将Coley 制备的链球菌称为Coley毒素。然而,遗憾的是在接下来的试验性尝试中,由于缺乏对这一疗法机理的认识,链球菌的剂量难以把握,导致疗效参差不齐,甚至还有两位患者死于细菌感染。
Coley医生发明的这种疗法虽然起步跌跌撞撞,但却开创了肿瘤免疫治疗的先河。细菌的抗肿瘤活性也为人们所认识,其潜力也被不断地挖掘,直至今天。
更上层楼
随着科学的进步,人们找到越来越多肿瘤的弱点,发现了越来越多细菌的神奇之处,利用细菌来对抗肿瘤,也有了更多的手段。
肿瘤内异常的血管网络是细菌能够靶向定植于此的主要原因。和正常细胞的生长都受到精细调控不同,肿瘤细胞会利用一切资源来繁殖扩张,这期间需要刺激新生血管的形成,以源源不断地运送氧气和养料。这些血管分布极度混乱,如果将其比作公路的话,有些就像断头路一样存在盲端,有些如同在修下水道一般没有完整的血管内皮。这类运输能力很差的血管会导致氧气浓度较低,从而恰好为厌氧或兼性厌氧菌的生长营造适合的环境,而且因缺氧而坏死的组织还会为细菌的生长提供丰富的养料。
此外,在科学家对肿瘤特征的研究过程中,他们发现,肿瘤为了避免对人体免疫系统对其发动攻击,通常会分泌一些细胞因子,麻痹其周边的免疫系统,使之降低警惕性。
在此基础之上,科学家挖掘出了细菌的种种不凡的功能。比如有些细菌可以生长在肿瘤细胞内部,并且能引发机体的免疫反应从而对肿瘤起到杀伤作用,就像上文提到链球菌一样,科学家就让其直接扮演“炮弹”的角色。预防结核病的卡介苗也是一种很强有力的“炮弹”,它的主要成分是牛型结核杆菌的减毒菌株,研究发现,卡介苗除了能帮助接种者预防肺结核之外,还可作为免疫调节剂,激活或强化免疫细胞,从而发挥抑制或杀灭癌变细胞的作用。
还有一些细菌对肿瘤有亲嗜性,科学家就让其扮演精确“制导”载体。除了李氏菌之外,有研究者还发现,将伤寒沙门氏菌经静脉通路注入到荷瘤小鼠中后,很快就观察到少量细菌附着在肿瘤的血管处,注射后一个星期,肿瘤组织中的细菌数量是正常组织的一万倍。
1960年代,美国总统尼克松曾表示,在他任上要完成两件大事,一是登上月球,二是攻克肿瘤。时至今日,登月照片已染上岁月的斑黄,但征服肿瘤之途依然困难重重。
