对某些患有癌症的妇女来说,化疗能够挽救她们的生命,但是也容易摧毁她们的生育能力。现在,一项进行于小鼠身上的新研究揭示了化疗药物是如何损伤卵巢的,并找到一种药物AS101为患者避免这种损伤提供了一条新途径。

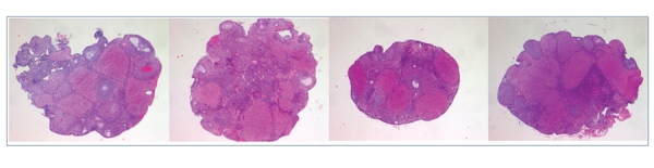
化疗药物损害卵巢,使卵巢缩小。图中左边是对照组,
右一是化疗时同时使用AS101治疗的卵巢,右二是单纯化疗的卵巢,它在实验组中最小,受到的损害最大。
“这项研究结果是这个领域的一个重大突破。”来自于英国爱丁堡大学的生殖生物学家Evelyn Telfer说,她没有参与这项研究。“如果你打算开发一种保留生育功能的药物,那你肯定想知道原发性损伤发生在哪里。这项研究非常具有前景。”
卵子是女性生殖细胞,它产生于卵泡。每个人类卵巢包含数千个卵泡。卵巢每个月发生一次周期性变化,数个卵泡变得活跃,不过一般只有一个卵泡发育成熟,因此通常情况下,女性每个月只排一个卵。排卵后卵子存活数小时,此时,卵子如进入输卵管并遇到精子即受精成为受精卵。在传统的医学认知里,生殖生物学家普遍认为卵巢产生卵子的数目是固定的,随着年龄增长,这些卵细胞会逐渐消耗并在绝经期耗尽。
保存生育能力的方法多有局限性
目前,一些接受环磷酰胺(一种用来治疗卵巢癌、乳腺癌等癌症的药物)治疗或接受其他有损卵巢化疗的女性,如果想保存自己的生育能力,必须在治疗前采取措施。
目前世界上已经有了几种保存生育能力的办法,比如将卵子直接冰冻,等到日后再进行受精;或者将卵子提取到试管中进行受精,将胚胎冰冻,等到母体身体健康,能够承受怀孕时,再将胚胎重新植入母体,但是这些方案对于许多女性癌症患者来说并不在备选之列,比如患有激素依赖性癌症(如乳腺癌、前列腺癌、子宫内膜癌、甲状腺癌等)的患者。目前还有些癌症患者需要立即接受治疗,但刺激卵巢、提取卵子需要至少两个星期的时间(取决于月经周期),同时卵巢刺激性药物还可能为肿瘤提供养分。
还有一种方法,对于一些特定患者,包括还不能产生成熟卵子的未进入青春期的年轻女孩,医生可以在化疗前取其卵巢组织进行冷冻,待患者恢复健康,再将卵巢组织移植回去,目的是保存卵巢的内分泌和排卵功能。该方法简单易行,且不需要通过刺激卵巢获得卵母细胞和受精卵,避免了体外受精(IVF)治疗使用激素的副反应,但临床证实这种组织移植具有潜在保留恶性细胞的可能,易诱发癌症复发,所以必须经过病理证实阴性后冻存。因此,这些方法应用于临床都有局限性。
新方法提供新希望
为了探究化疗对生育的影响,以色列特拉维夫大学的Dror Meirow和他的团队采用环磷酰胺对雌性小鼠进行治疗。他们发现这种药物触发了与卵泡激活有关的细胞途径,使得卵巢中活跃的卵泡数量大大增加。当过多的卵泡被激活,卵子库存就会随之被提前“耗尽”。同时,环磷酰胺还会杀死活跃的卵泡。这些都导致了不孕的发生。
这种由环磷酰胺激活的细胞途径是由P13K蛋白控制的。Meirow团队发现,一种名为AS101的实验性药物能够靶向这种蛋白质。在之前的临床试验中,AS101主要用于降低化疗对血液和皮肤的负面影响。研究人员在接受环磷酰胺治疗的小鼠身上测试AS101,他们发现卵泡被激活或损伤数量减少,小鼠生育能力得到保存。
“虽然结果很诱人,但是将这项研究从小鼠——每4天排8到20个卵子——应用到人身上还是有很大一段距离。”Telfer说。“但是,这项工作为后续的在更大动物以及人体细胞培养基上进行研究提供了重要的'开山'作用。”
同时,Meirow也渴望看到通过该研究能真正为病人减轻负担。“你很难对一个病人说,你得癌症了,现在又不能生育了。”他说。“我们正在研究许多方法阻止这一场景发生。”
