
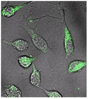
配体-纳米颗粒复合体(绿色)靶向癌细胞。图片来自布里格姆妇女医院(BWH)
据1月9日《每日科学》报道,化疗药物的投递系统成为许多研究人员的挑战,很难让癌细胞吞下化疗的“诱饵”,然而,布里格姆妇女医院(BWH)纳米技术研究小组成功地攻克这一难关。
BWH研究小组的人员分别来自麻省理工学院(MIT)和马萨诸塞州总医院,他们研制出药物投递系统以用于有效地把大量的化疗药物运送到前列腺癌细胞中。这项研究发表在2012年1月3日的ACS Nano期刊上。
这一过程类似于警用车被组装后把装载的乘客运送到目的地,只不过“乘客”是治疗癌症的药物,“目的地”是癌细胞。
为了设计“运输工具”,研究人员利用“Farokhzad选取策略”筛选出可靶向前列腺癌的配体(结合细胞表面的分子),接着,把装有化学药品的纳米颗粒连接到人工筛选的配体上。
为了理解“Farokhzad选取策略”,我们必须理解配体行为。大多数配体都具有结合细胞的能力,而研究人员筛选出的配体不仅能结合前列腺癌细胞,还具有其它2种特点:1)灵敏地鉴别癌细胞和非癌细胞;2)被癌细胞吞噬。Farokhzad称:“细胞能吞噬大多数配体,但是效率不高,‘Farokhzad选取策略’筛选出的配体能够诱使细胞高效吞噬。”
此外,在药物投递系统中配体诱使细胞吞噬的能力至关重要,因为它能把大量的装载药品带入癌细胞中,而不是仅仅停留在细胞外,在癌症治疗中这是一个更为有效的方法。
在药物投递系统的设计过程中一个重要的指标是配体-纳米颗粒复合体能够识别和结合在癌细胞表面标记上。
ZeyuXiao博士是BWH纳米医学和生物材料实验室的研究员和该研究的指导作者,他说:“针对癌细胞的治疗,目前的策略要依靠配体-纳米颗粒复合体靶向已知的癌细胞标记,最大的问题是大多数癌细胞表面不具有特异的分子标记。”
他补充道:“这一独特的策略由我们研制出,能让纳米颗粒靶向目标类型的癌细胞,即便癌细胞表面的分子标记不被人所知,纳米颗粒仍然能高效地进入其中。该策略简化了纳米颗粒的筛选过程,并扩展了它们在癌细胞治疗领域的应用范围。”
这项研究由国家卫生研究院、大卫科赫前列腺癌基金会、美国国防部前列腺癌研究计划部的机制。

Engineering of Targeted Nanoparticles for Cancer Therapy Using Internalizing Aptamers Isolated by Cell-Uptake Selection
Zeyu Xiao, Etgar Levy-Nissenbaum, Frank Alexis, Andrej Lupták, Benjamin A. Teply, Juliana M. Chan, Jinjun Shi, Elise Digga, Judy Cheng, Robert Langer, and Omid C. Farokhzad
One of the major challenges in the development of targeted nanoparticles (NPs) for cancer therapy is to discover targeting ligands that allow for differential binding and uptake by the target cancer cells. Using prostate cancer (PCa) as a model disease, we developed a cell-uptake selection strategy to isolate PCa-specific internalizing 2′-O-methyl RNA aptamers (Apts) for NP incorporation. Twelve cycles of selection and counter-selection were done to obtain a panel of internalizing Apts, which can distinguish PCa cells from nonprostate and normal prostate cells. After Apt characterization, size minimization, and conjugation of the Apts with fluorescently labeled polymeric NPs, the NP–Apt conjugates exhibit PCa specificity and enhancement in cellular uptake when compared to nontargeted NPs lacking the internalizing Apts. Furthermore, when docetaxel, a chemotherapeutic agent used for the treatment of PCa, was encapsulated within the NP–Apt, a significant improvement in cytotoxicity was achieved in targeted PCa cells. Rather than isolating high-affinity Apts as reported in previous selection processes, our selection strategy was designed to enrich cancer cell-specific internalizing Apts. A similar cell-uptake selection strategy may be used to develop specific internalizing ligands for a myriad of other diseases and can potentially facilitate delivering various molecules, including drugs and siRNAs, into target cells.
